病棟
安心・安全な高度医療の提供を目指して。
概要
病棟は病院棟の8階に位置し、各病室からの景観もすばらしく、全室十分な広さを確保しています。病床は有料の個室3室と2人部屋4室を含む60床で、重症個室4室、要介助者用個室1室も備えています。
さまざまな手術の術後管理だけでなく、歯からの重篤な細菌感染症の治療や全身のいろいろな病気を持つ患者さまの歯科治療を入院下に安心して受けていただいています。手術の対象となる疾患は骨折などの外傷、炎症、腫瘍、先天奇形や発育異常など顎<がく>顔面に発生するさまざまな病気です。口腔がんの手術などでは大きな切除とその後の複雑な再建術が必要で集中的な術後管理が必要となります。また、対象が口腔ですので、口腔ケアにも力を入れています。
大学の基本理念にのっとり、安心・安全で高度な医療を提供するために、患者さまを中心として歯科医師、医師、看護師とその他の医療スタッフが協働してチーム医療を行っています。
手術部
患者さまの安全を第一に心掛け、高度な手術医療を提供します。
概要
手術部は病院棟の7階に位置し、顎<がく>顔面領域の手術に対応するための手術室が5室あります。一般手術室2室のほかに、クラス1000の無菌手術室が1室、放射線防御対応手術室1室、感染症対応手術室が1室あります。これらの手術室を使用して年間約600件以上の全身麻酔手術を行っています。
さらに手術部内には顎<がく>顔面領域のがん切除術に行われる遊離皮弁再建手術時に使用される手術用顕微鏡、顎<がく>関節手術用のデジタル内視鏡、エックス線透過装置などの最新医療機器も設置しています。
また、肺や心臓に重大な合併症を持つ患者さまの麻酔に対応するために、麻酔深度モニターや高度な生体情報モニターを設置しています。これらのモニターとすべての手術室の様子がセントラルモニターにつながれ、二重の監視体制を取っています。手術中の患者さまの安全・安心を第一に考え、看護師、麻酔科医、歯科麻酔医、口腔外科医、口腔内科医が協力して手術医療を提供しています。この施設は日本麻酔科学会および日本歯科麻酔学会の認定施設になっています。
これらの手術室に隣接して、インプラント手術専用の外来手術室が2室あり、口腔インプラント科の歯科医師によってインプラント治療を行っています。ここでは歯科麻酔科医が立ち会う静脈内鎮静法を用いた治療も行います。この施設は日帰り全身麻酔も可能で、治療室横には術後安静を保つための患者さま専用の回復室を準備しています。もちろんセンター内のモニターはすべて手術部のセントラルモニターで監視され、より安全な医療を心掛けています。
放射線部
高精度な画像検査と診断で、幅広い医療サポートを行います。
概要
放射線部は病院棟の3階に位置し、口腔顎<がく>顔面領域に発生する各種疾患に対し、画像検査および診断を行っています。特に、がん、歯科用インプラント、顎<がく>関節症に対するCTやMRIの診断精度は国内だけでなく海外からも高く評価されています。北九州近隣はもちろん、山口や大分からも数多くの画像検査と診断の依頼をいただいています。歯科用コーンビームCTも導入され、歯の疾患に対する正確な診断も可能になっています。また、歯科医院だけでなく、近隣の医科病院からも撮影依頼があり、ネットメディカルセンターを通して正確な診断も行っています。北九州市立医療センターや北九州PET健診センターとも連携し、放射線治療や18F-FDG-PETの診断についても日々研さんを積んでいます。




撮影についてのお問い合わせ
臨床検査部
患者さまの正確な状態把握のために。
臨床検査室
臨床検査室では主に歯科疾患の患者さまを対象に術前検査や、口腔内出血の原因、細菌感染の原因菌、およびインプラント装着のための口腔内の状態の把握などを行います。
主な検査内容
- 生化学検査:現有疾患(肝臓病、糖尿病、他の臓器疾患)有無を検査します。
- 血液学検査:出血の原因、貧血、血球計数や分類、血液疾患を検査します。
- 一般検査:尿や便の潜血や他の臓器疾患の有無を検査します。
- 輸血検査:血液型検査や輸血用血液の適合、不適合を検査します。
- 生理学検査:心電図、肺機能などから疾患の有無を検査します。
- 細菌検査:口腔内の真菌の有無を検査します。
- 標本作成:採取した組織や細胞の標本を作成します。
病理診断室
病理診断室では、診断あるいは治療のために患者さまのお体から採取した組織や細胞について組織学的、細胞学的に病気の診断を行います。
常勤病理医
- 矢田 直美(口腔病理専門医・細胞診専門歯科医・サイトパソロジスト)
- 松尾 拡(口腔病理専門医)
口腔病態病理学分野
主な検査内容
- 細胞診
- 口腔領域の悪性腫瘍・良性腫瘍
- のう胞
- 炎症性疾患
- 唾液腺疾患
- 粘膜疾患 他
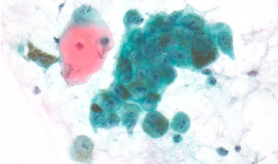
細胞診



粘液のう胞

舌癌

設備
生化学自動分析装置、HbA1C測定装置、全自動血球計数装置、血液凝固測定装置、全自動染色封入装置、自動包埋<ほうまい>装置、尿分析装置、術中迅速標本作製装置を整備し、医療情報システムを構成しています。