口腔顎顔面外科科長/教授
土生 学 manabu habu
専門 口腔がん、顎変形症、顎関節症、顎顔面インプラント、口腔顎顔面再建
認定
- 日本口腔外科学会専門医・指導医
- 日本がん治療認定医機構 がん治療認定(歯科口腔外科)
- 国際口腔外科専門医認定機構口腔外科学会専門医
- International Boad For the Certification of Specialists in Oral and Maxillofacial Surgery
学位
- 博士(歯学)
口の中、顎、顔面に現れる先天性および後天性の病気に対し、主として外科的対応を行う診療科です。口の周りの病気で、う蝕(虫歯)と歯周病以外の病気に関して外科的対応が必要なものを担当します。抜歯などの歯の病気から口腔がんまで幅広い疾患に対応します。
いわゆる親知らずや普通の歯科医院では困難な抜歯などを行います。
口の領域にできる良性のできもの(嚢胞<のうほう>、良性腫瘍)や悪性のできもの(口腔がんなど)の診断、治療を行います。
がんなどの切除後の再建手術を行い、できるだけ生活の質を落とさないようにしています。
先天的な顔面の異常の治療を行います。
歯や歯周組織からの細菌感染症の治療を行います。
顔面のけがや顎の骨の骨折の治療を行います。
口腔顎顔面外科では、初めて病院を受診される方から、何十年にもわたり通院されている方まで、幅広く診察を行っています。外来通院では治療が難しい場合は入院下での治療を行います。安心・安全で高度な医療を提供するため、口腔外科専門医、指導医を中心とした医療スタッフが協働してチーム医療を行っています。
口腔がんなどでは、がん治療認定医(歯科口腔外科)が手術と化学療法を中心に治療を行っています。放射線療法を加えた集学的治療が必要な症例では、近隣の放射線治療施設と緊密な連携を取りながら患者さま中心の適切な治療を提供しています。
口腔は、摂食・咀嚼<そしゃく>・嚥下<えんげ>・構音など、複雑な機能を有しており、かつ、個人の人格を象徴する顔面の大きな部分を構成しているため、見た目をなるべく損なわないことも重要課題で、根治性と審美・機能を両立させるべく努力を払っています。



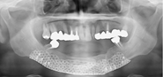
下顎骨の腫瘍で下顎を切除し(写真左)、切除したところを腰骨で再建し(写真中央)、インプラントを支えにしたブリッジ(写真右、白い部分)でかめるようにした症例のエックス線写真




口唇裂の手術後。口唇口蓋<こうがい>裂は500出産に一人の割合で発生します。審美と機能の回復を小児歯科、矯正歯科、言語治療科などと協力して進めます。産婦人科、小児科、耳鼻咽喉科とも連携し、出生前カウンセリング、出産後の産科への往診を行い、出生前後から成人に至るまでの一貫した治療を行います。

| 歯の疾患 | 2,275例 |
|---|---|
| 先天・後天異常 | 111例 |
| 外傷 | 50例 |
| 粘膜疾患 | 203例 |
| 炎症 | 159例 |
| 悪性腫瘍 | 41例 |
| 良性腫瘍 | 156例 |
| 心身疾患 | 36例 |
| 嚢胞 | 146例 |
| 顎関節疾患 | 126例 |
| 神経性疾患 | 25例 |
| 唾液腺疾患 | 42例 |
| MRONJ | 30例 |
| その他 | 19例 |
| 歯の疾患 | 451例 |
|---|---|
| 先天異常 | 13例 |
| 外傷 | 47例 |
| 再建外科手術 | 20例 |
| 炎症 | 15例 |
| 悪性腫瘍 | 59例 |
| 良性腫瘍 | 95例 |
| 嚢胞 | 73例 |
| 顎関節疾患 | 0例 |
| 唾液腺疾患 | 8例 |
| 顎変形症 | 129例 |
| その他 | 19例 |
矯正治療用につくられた特殊なインプラントを一時的に顎の骨に埋め込み、歯を動かすための固定源とすることを目的とします。従来の矯正治療では動かすことが困難であった歯の動きを可能とし、治療期間の短縮や確実な治療結果が得られます。
矯正用アンカースクリュー 1本約24,000円
SMAP(顎の骨の中にネジを用いて固定するプレート) 1枚約60,000円
口腔顎顔面外科科長/教授
専門 口腔がん、顎変形症、顎関節症、顎顔面インプラント、口腔顎顔面再建
准教授
専門 口腔がん、顎顔面補綴
助教
専門 口腔外科全般
助教
専門 口腔外科全般
助教
専門 口腔外科全般
助教
専門 口腔外科全般
助教
専門 口腔外科全般
特任教授
専門 口唇裂、口蓋裂、顎口腔再建
大学院生
専門 口腔外科全般
大学院生
専門 口腔外科全般
大学院生
専門 口腔外科全般
大学院生
専門 口腔外科全般
大学院生
専門 口腔外科全般
大学院生
専門 口腔外科全般
大学院生
専門 口腔外科全般
大学院生
専門 口腔外科全般
大学院生
専門 口腔外科全般
大学院生
専門 口腔外科全般
大学院生
専門 口腔外科全般
大学院生(社会人)
専門 口腔外科全般
